Minimal Dentistry. Why less is more.
- yelluk

- May 16, 2013
- 1 min read
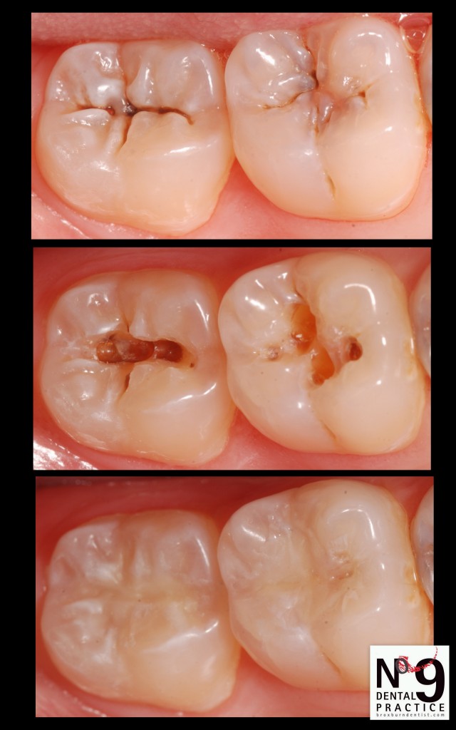
In this case we recently completed at No9, the back teeth had some decay present.
After careful removal of the decay, with magnification, we were then able to restore the teeth with tooth colored filling material. Here we have used three different colours to mimic the natural tooth appearance.
Minimal tooth structure removal, means we keep as much of the natural strength of the tooth as possible. The benefit of which is that the restoration will last much longer, which means you need less treatment in the longterm.
That's why we say at No9 sometimes less is more.







Comments