Making teeth look like teeth at No9 Dental Practice
- yelluk

- Mar 20, 2013
- 1 min read
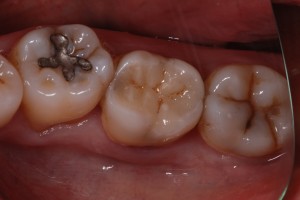
This is today's case at No9 Dental Practice.
Replacement of an old amalgam filling which had some decay happening at the back edge. With the new advances in white filling materials we can now mimic the natural tooth. We add colour, hints and tints to make the tooth look like a proper tooth. This just takes some time, dedication and an eye for detail. If you have an tired old amalgam fillings and are interested in making the restorations truly invisible, then please do not hesitate to get in touch. It's the kind of work we love to do at No9 Dental Practice. If you like the look of this Like us on Facebook.








Comments