Impossible Root Canal?
- yelluk

- Jul 3, 2012
- 1 min read
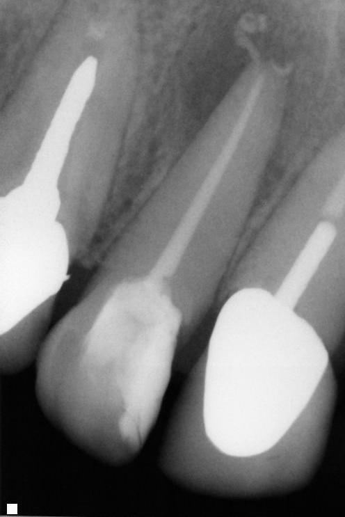
This is the X ray of the tooth that the patients previous dentist said was unrestorable. The patient was offered an extraction. However he patient wasn't yet ready to loose his front tooth and decided to seek out another opinion. After a bit of an internet search he arrived at No9.
We had a chat and took the picture above which confirms that there is almost no root canal present and therefore the tooth is almost impossible to restore. However, with time, skill and a good bit of determination it is often possible to get down these impossible canals, and save the tooth.
What did we have to loose? We agreed to have an exploratory appointment and if possible to negotiate the canal then to complete the treatment. If not possible to complete then the patient would at least be happy knowing that everything was tried.
And here we have the finished result.
One happy dentist. One very happy patient. If you have a root canal that needs some work..... why not give us a call.








Comments