Implant Bridge
- yelluk

- Jan 27, 2012
- 1 min read
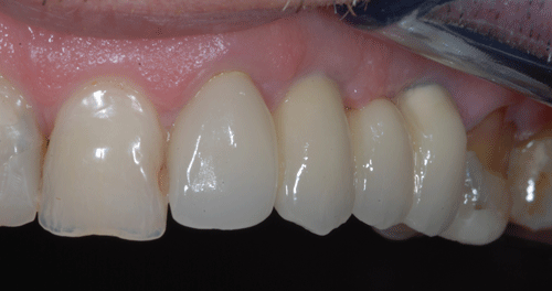
Today I reviewed a 3 unit implant bridge that we fitted 6 months ago. The patient is delighted. He has got rid of his denture, feels he can now chew properly, and taste his food better. I am really happy with result, and the photo shows what can be achieved. Thanks to Jim Forrest my gifted technician for the awesome porcelian work. If you have a gap, or as struggle with a denture, why not give us a call and let us see if we can help. Smiles by Pete at No9 Dental Practice.







Comments