A Really Nice Case
- yelluk

- Aug 31, 2010
- 1 min read
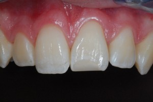
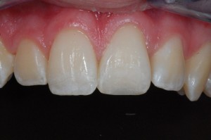
Here is a really nice clinical case. After a chat with the patient we dicided to replace the old worn filling in the front tooth.
Its worn, and the colour is wrong. Before and after image.. I used our new fancy nano filled composite material, with emamel and dentine shades. Then working with micro brushes and tints I was able to replicate the surface colour and texture of the surrounding teeth. The patient was delighted.








Comments