A New Front Tooth
- yelluk

- Sep 2, 2011
- 1 min read

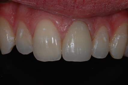
We made a new front tooth for James at the start of the year, replacing his old crown with a custom made hand crafted Cerec crown. He was delighted.
However, a bump whilst drinking out of a bottle cracked the tooth. If you look hard on the upper left central incisor you will see the hair line crack.
Not to worry. We milled a new tooth from the hard drive of the Cerec machine before James arrived in the surgery. We were then able to stain and glaze to get an amazing, natural life-like match to the tooth next door.
James was once again delighted with the tooth and the service.
The charge for this? Free since all the work we do caries the No9 "No Quibble" garaunteed for one year. Now thats a good deal.







Comments